吃了一块冰箱里的瑞士卷,老人一直发烧,不幸去世,夏天要更重视这个“冰箱杀手”

2024 年 12 月,一位网友表示家里老人(67 岁)吃了一块从冰箱里拿出来的、未过期的瑞士卷之后,开始出现发烧、胃疼和干呕等症状。网友家人带着老人去了三家医院,但都找不到病因,无奈之下在网上发了求助贴,该帖子引起了很多人的关心和关注。
几天后,老人终于确诊——感染了李斯特菌。因为失去意识,无法自主呼吸,老人住院后一直住在重症监护室。然而,今年 3 月下旬,老人还是不幸去世了。

过去,国内媒体也报道过一些老人吃了冰箱里的剩菜后感染李斯特菌,有的老人经过救治转危为安,有的也不幸离世。

截图源自网络
冰箱杀手?
李斯特菌经常也被叫作“冰箱杀手”,许多感染事件的发生都是因为人们吃了被李斯特菌污染的冷藏即食食品,例如奶制品、熟食肉类、沙拉、三明治和水果。
虽然“冰箱杀手”的称号有点可怕,但如果你是一个健康的成年人,其实不用太担心,大多数人感染了李斯特菌没有症状,或者拉两天肚子就好了,或者出现发热、疼痛和畏寒等症状。
但是,对于孕妇、新生儿、65 岁以上老年人和免疫系统较弱的人而言,李斯特菌感染可能非常凶险,孕妇可能流产,老年人和其他身体较弱的人群可能引发脑膜炎、败血症等危及生命的疾病。

电子显微下的李斯特菌,图源:CDC
顽强的李斯特菌
冰箱是储存食物的好地方,冰箱的冷藏温度通常在 0°C 到 4°C 之间,可以阻止大部分食源性致病细菌的生长,但是,这样的温度对李斯特菌无效,它们能在低至-1.5°C 的环境中生存和生长。
于是,在冰箱的冷藏室里,随着时间的推移,少量无害的李斯特菌就会生长到危险的污染水平。
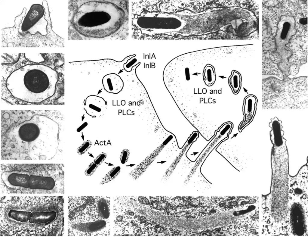
感染之后,它们可以在宿主细胞内生长繁殖,并扩散至邻近细胞,可以在体内存活很长时间。躲在细胞内的李斯特菌能够逃过人体的免疫防御机制,然后进入并感染不同的器官。

让人生病的李斯特菌更确切的名字是单核细胞增生李斯特菌(Listeria monocytogenes),图源:Daniel A. Portnoy, Victoria Auerbuch, and Ian J. Glomski
从摄入到发病,有些人会有一段很长的潜伏期,通常可达三周,有的甚至潜伏 2 个多月。较长的潜伏期也让人们很难确定真正引起感染的食物来源。
引起不同程度的症状
当李斯特菌在肠道中存活时,人可能出现恶心、呕吐和腹泻等肠胃炎症状,注意休息和补水,通常无需就医,过两三天就自己好了。
但是,当人体的免疫系统较弱时,李斯特菌扩散到肠道以外的组织和器官,人就可能出现头痛、发烧、肌肉酸痛、颈部僵硬、意识模糊、失去平衡和抽搐等症状。
在怀孕期间,女性的免疫系统会发生变化,孕妇因此更容易感染李斯特菌。虽然孕妇感染后本人可能只有轻微症状,但细菌会进入胎盘并感染未出生的胎儿,从而引起早产或流产,或者让新生儿患上重病或死亡。

有些食物要更小心
李斯特菌无法通过味觉、嗅觉或肉眼检测出来,在环境中普遍存在,可以从土壤、动物、植物和废水等几乎所有环境中分离出来,因此食品在生产过程中有很多被污染的机会。
作为一种兼性厌氧细菌,李斯特菌在无氧环境中也能存活,因此,可见于真空包装的熟香肠、意大利火腿、熏肉等食物中。
从过去爆发的一些疫情来看,李斯特菌感染常与未经消毒的生鲜奶、沙拉、未清洗的生蔬菜、熟食肉类和预切水果等食物有关。
土壤中的李斯特菌在大雨天很容易溅出,溅到生长在地面较低位置的果蔬(例如哈密瓜)的表面或表皮上。哈密瓜的瓜皮上面还有很多网状纹路,不容易清洗干净,于是,当人们切瓜的时候,李斯特菌就会被带到果肉上。
此外,哈密瓜的酸度较低,而且经常放在冷藏室里较长时间,也有利于李斯特菌的生长。所以,一些专家建议患李斯特菌病风险较大的人群少吃预先切好的哈密瓜。
近日,美国又有 10 人因为感染李斯特菌而住院,当地疾病控制与预防中心表示,实际感染数字可能更高,因为有些人无须就医即可康复。调查表示此次疫情和即食三明治有关。
冰箱使用注意事项
由于细菌在 5℃ 以及以上的温度中生长比较快,因此冰箱冷藏室的温度应保持在 4°C 或以下。然而,这个看似简单的建议,很多家庭都没有达标。
2024 年,荷兰的一项研究发现,大多数荷兰消费者都不知道 4°C 的建议温度。该研究调查了荷兰 534 台家用冰箱底层的温度,平均温度为 5.7°C。
研究还发现,老年人家中的冰箱温度通常更高一些。研究中,老年人 (65 岁及以上) 的冰箱温度平均比年轻人 (35 岁或以下) 高 0.6°C,还有 79 岁和 86 岁的老人家中的冰箱最高温度分别为 16°C 和 17°C。
而且,大多数参与者都从未检查过自家冰箱的温度,37%的人偶尔检查,只有 2%的人定期检查。

冰箱冷藏室温度分布示例,图源:appliancecity
研究人员建议人们对老年人应该有针对性的沟通,另外由于底层架子的平均温度值低于顶层架子,因此应将即食熟肉制品存放在底层或中层的架子上,并在开封后两到三天内吃完。不过,冷冻室在冷藏室上方的冰箱情况相反,其上层搁板的温度最低。
为了食品安全,最好定期使用单独的温度计检查冰箱的温度。有的专家建议在冰箱不同区域放置几个粘贴式温度计,要是发现某个区域的温度偏高就调整一下。
值得一提的是,冰箱内部的温度也会有所不同。冰箱靠后的位置通常温度较低,而冰箱门则是最热的地方。因此,牛奶、生肉等食物最好不要放在冰箱门上的置物架,而是放在靠近冰箱后部的位置。
另外,生肉与即食食品要分开存放。有生肉的话,最好存放在冰箱底层,这样生肉的汁液就算漏出来也不会滴到其他食物上。如果生肉放底层,即食食品就放中层或其他层,并包装好。
东西比较多的话,可以借助旋转托盘等收纳用品,但要注意,冰箱应避免塞得太满,尽量保持冰箱容量在 75%左右,这样冷空气才能正常流通。
平时使用时,也避免频繁打开冰箱门或者敞开太久,因为每次开门,暖空气都会涌入冰箱,而冰箱门敞开得越久,内部温度就越接近室温,帮助细菌繁殖。此外,冰箱的门缝密封条也要定期检查并清洁,确保冰箱门封是严实的。

在炎炎夏日,冰箱中的西瓜、哈密瓜、蛋糕、冰淇凌、沙拉、火腿三明治、水果拼盘和果汁等等众多美食,不仅满足了口腹之欲,更是人们心灵的慰藉。
但是,李斯特菌病在夏季更为常见,如果你家里有老人、孕妇或免疫系统较弱的人,某些冷藏即食食品和冰箱的使用应该更加重视。检查一下家里冰箱的冷藏温度有没有高于 4℃,有什么开封的即食食物放了好几天,冰箱有没有塞得太满,生肉放哪里了,门边都放了什么食物……




